Menu

Prev

Next

Real Materials

· The ceramic Al2 O3 shown in the top photograph has interphase boundaries between its crystalline and amorphous phases. The gray background is the amorphous phase.
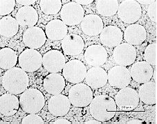
· The man-made glass-epoxy composite, shown in transverse section, has cylindrical glass fibers embedded in a polyester resin matrix. The fibers provide most of the strength of the material and the matrix protects them from damage and facilitates load transfer.
· Interphase boundaries in these materials increase their resistance to crack propagation.

From: Hull, "An Introduction to Composite Materials," Cambridge (1992)